Fibryna bogatopłytkowa
(1 probówka, okolica podania - twarz)
Fibryna bogatopłytkowa ma na celu biostymulację komórek skóry. Pozyskiwana z krwi pacjenta, zawiera liczne czynniki wzrostu, które stymulują namnażanie i dojrzewanie komórek naskórka. Dzięki aktywacji mikrokrążenia skóra staje się bardziej napieta i nawilżona.
Terapia fibryną bogatopłytkową jest polecana pacjentom, którzy cenią naturalne metody w mdycynie estetycznej.
Zabieg z wykorzystaniem osocza bogatopłytkowego pozwala na spłycenie zmarszczek w okolicach: oczy (usuwanie tzw.: "kurzych łapek"), czoło, policzki, nos oraz usta. Może także obejmować redukcję zmarszczek na szyi, dekolcie czy dłoniach.
Jak przebiega zabieg?
Zabieg z użyciem fibryny bogatopłytkowegj trwa około 1 godziny. Przed rozpoczeciem iniekcji, lekarz medycyny estetycznej pobiera od pacjenta około 8ml krwi. Następnie oddziela erytrocyty (czerwone krwinki) od osocza bogatego w płytki krwi, wykorzystując specjalistyczną wirówkę z odpowiednim jałowym żelem. Dzięki temu możliwy jest skuteczny rozdział krwinek od osocza zawierającego trombocyty. Lekarz przy użyciu iniekcji, wprowadza preparat bezpśrednio do skóry pacjenta.
Cena PROMOCYJNA 600zł

Pakiet Higienizacyjny
Zabieg higienizacji zębów to kluczowy element profilaktyki stomatologicznej, który pozwala na skuteczne oczyszczanie zębów z osadów i kamienia nazębnego.
Proces ten składa się z kilku istotnych etapów:
*Piaskowanie* - usuwanie osadów, co pozwala na przywrócenie zębom ich naturalnego blasku
*Skaling* - etap ten polega na eliminacji kamienia nazębnego, który może prowadzić do poważnych problemów zdrowotnych.
*Polerowanie* - po dokładnym oczyszczeniu, zęby są bardziej wygładzone, co zapobiega ponownemu osadzaniu się zanieczyszczeń.
*Fluoryzacja* - przeprowadzana na koniec, jest lakierowaniem zębów wzmacniając ich strukturę oraz ochronę przezd próchnicą.
Cena PROMOCYJNA 320zł
Cena PROMOCYJNA w pakiecie dla dwóch osób 600zł
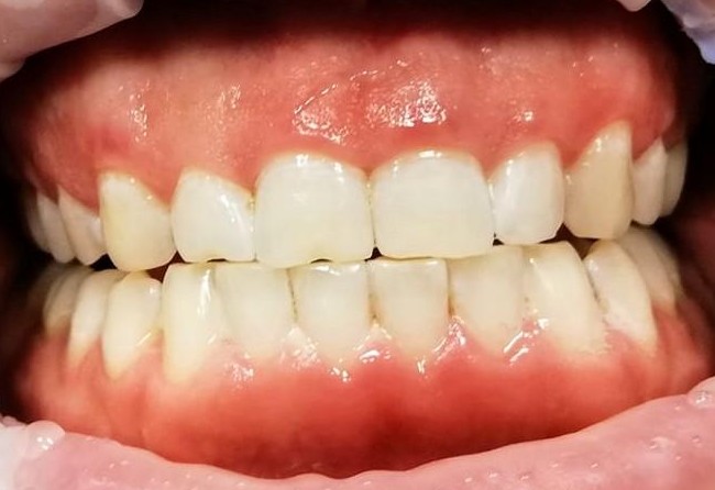
Przed higienizacją

Po higienizacji

Wybielanie Blanc One Click + Higienizacja
Preparat Blanc One CLICK jest jedynym preparatem wybielającym, który można stosować zaraz po zabiegu higienizacji. Gwarantowane, niskie stężenie związku wybielającego (16% nadtlenek karbamidu) sprawia, że szkliwo nie jest zniszczone i nie potrzebuje regeneracji. Dedykowany jest dla pacjentów, którzy chcą delikatnie rozjaśnić zęby lub odświeżyć efekt poprzedniego wybielania.
|
|
Skorzystaj z pakietu i ciesz się perfekcyjnie białym uśmiechem!
Cena PROMOCYJNA 599zł

Wybielanie Beyond Polus Advanced
Polega na nałożeniu na zęby specjalnego preparatu, zawierającego w swoim składzie nadtlenek wodoru, następnie poddaniu działaniu lampy Beyond Pollus.
|
|
Cena PROMOCYJNA
999zł
Przed wybielaniem

Po wybielaniu

Wybielanie Beyond Polus Advanced
Polega na nałożeniu na zęby specjalnego preparatu, zawierającego w swoim składzie nadtlenek wodoru, następnie poddaniu go działaniu lampy Beyond Polus. Pod wpływem emitowanych przez nią ultradźwięków oraz światła (charakteryzuje się ona innowacyjnym połączeniem procesu kawitacji oraz technologii Lightbride) dochodzi do rozpadu cząsteczek nadtlenku wodoru i uwolnienia związków aktywnych, które następnie wnikają w głąb zęba, usuwając przebarwienia. Co istotne, zabieg nie narusza naturalnej struktury zęba, a więc nie wiąże się z ryzykiem osłabienia zębów ani uszkodzenia szkliwa.
|
|
Cena PROMOCYJNA 899zł
| Przed wybielaniem | Po wybielaniu |
![]() |
![]() |